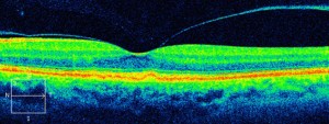
Macular Degeneration – name given to a group of degenerative diseases of the retina that cause progressive, painless loss of central vision, affecting the ability to see fine detail, drive, read and recognise faces. There are 2 main types – Wet and Dry. There has been treatment for wet for some time but nothing for dry. BUT WAIT – we now have patients in clinical trials for dry ARMD treatment! World leading SPECTRI study Phase III by Roche.
So who is most susceptible?
- Those over 50,
- Those with a family history of MD
- Smokers
- Sun Exposure
We have all the required equipment available to check your eyes of Macular Degeneration with visual fields assessment, digital retinal imaging and ocular coherence tomography.
So if you are interested in taking part or know of anyone who would like to take part of the clinical trial please phone us to arrange an appointment today!!!
